東京都で歯周病治療を行う高村歯科医院の治療ガイド 診療実績の案内。治療費、料金等ご相談受付中。

診療実績

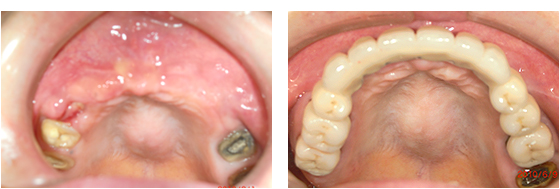
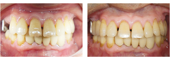
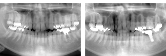
症例1

治療前治療後
症例1治療前、治療後
症例1治療前、治療後
症例1レントゲン

症例2

治療前治療後
症例2治療前、治療後
症例2治療前、治療後
症例2レントゲン

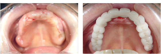
症例3

治療前治療後
症例3治療前、治療後
症例3治療前、治療後
症例3レントゲン

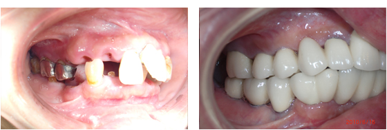
症例4

治療前治療後
症例4治療前、治療後
症例4治療前、治療後
症例4レントゲン

症例5

治療前治療後
症例5治療前、治療後
症例5治療前、治療後
症例5レントゲン

TOPへ戻る

抜かない治療=スウェーデン式と勘違いしていませんか?

今までに、こんな“間違った治療”を施されてはきませんでしたか?

それは本当に終わりのある治療なのでしょうか?

いつあき予約

入れ歯治療ガイド

高村歯科医院オフィシャルサイト

ISO9001取得歯科医院

Copyright ©高村歯科医院 All rights reserved.